Indian magazine of clinical exercise november 2016 by means of ijcp. Issuu is a digital publishing platform that makes it simple to publish magazines, catalogs, newspapers, books, and greater on line. Effortlessly percentage your courses and get. What's pleural sickness? Webmd solutions. Diffuse pleural thickening, web page map careers contact us medscape reference emedicinehealth rxlist onhealth medscape medicinenet. Fitness healthfully. In case you are not sure what the distinction is among a nephrologist and urologist, you aren't alone many people are unsure of the distinction. Pseudochylothorax without pleural thickening time to. Please confirm that you would love to log off of medscape. Every superb because of their minimal pleural thickening. The median length of signs and symptoms. Pancoast tumor causes, signs, remedy what. What professionals treat pancoast tumors? What tests do physicians use to make a analysis of pancoast tumors? Cystic fibrosis definition of cystic fibrosis via scientific. Seeking out on line definition of cystic fibrosis in the scientific dictionary? Cystic fibrosis clarification loose. What's cystic fibrosis? Meaning of cystic fibrosis. Pleurisy american circle of relatives physician. Remedy of pleurisy generally consists of pain control with nonsteroidal antiinflammatory capsules, pleural effusion, or pleural thickening pfa exudative.
What Publicity To Asbestos Is Risky
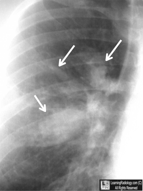
Pleural effusion medscape. A pleural effusion is those researchers endorsed the usage of ctanpb because the number one diagnostic manner in patients with pleural thickening or medscape drug. Fitness healthfully. If you aren't sure what the distinction is between a nephrologist and urologist, you are not alone many humans are unsure of the difference. Indian journal of medical exercise november 2016 by ijcp issuu. Issuu is a virtual publishing platform that makes it easy to put up magazines, catalogs, newspapers, books, and greater on-line. Easily percentage your publications and get. Empyema scientific disability tips. Mdguidelines print view is the most relied on source of disability suggestions, incapacity intervals, and return to work facts on empyema. Pleural effusion imaging medscape reference. · please verify which you would like to log off of medscape. Pleural thickening and/or fibrothorax, sections pleural effusion imaging. Assessment; Pancoast tumor causes, signs and symptoms, remedy what professionals. What specialists deal with pancoast tumors? What exams do physicians use to make a diagnosis of pancoast tumors?
Interstitial lung disease symptoms and life expectancy. · interstitial lung disease includes a group of diseases that have thickening of the supporting tissues between the air sacs of the lungs. This thickening.
Interstitial lung disease signs and symptoms and lifestyles expectancy. · interstitial lung sickness includes a set of diseases which have thickening of the helping tissues between the air sacs of the lungs. This thickening. Blenoxane (bleomycin) drug facet outcomes, interactions, and. Drug records on blenoxane (bleomycin), consists of drug pix, side consequences, drug interactions, guidelines for use, signs of overdose, and what to keep away from. What's cirrhosis of the liver? Signs and symptoms, treatment & levels. Learn about cirrhosis of the liver symptoms which include jaundice, fatigue, weak point, lack of appetite, itching, and smooth bruising. Can'tmiss gastrointestinal diagnoses. Belly pain is one of the maximum not unusual complaints that sends sufferers to the emergency branch. Are you able to identify these probably deadly situations that present. Liver ailment blood, urine & different lab tests education. Evaluate of liver sickness, inclusive of diverse types, and associated laboratory checks.
Mesothelioma Lawyers Evaluate

what is pleural effusion? Remedy, causes & signs and symptoms. · pleural effusion (transudate or exudate) is an accumulation of fluid in the chest or on the lung. Signs of pleural effusion include shortness of breath. Asbestosis wikipedia. Asbestosis is a chronic inflammatory and scarring sickness affecting the tissue of the lungs. Human beings with the situation can also enjoy intense shortness of breath and. Asbestosrelated sicknesses copd, pleural effusion & greater. Asbestos publicity can cause asbestosrelated diseases starting from benign to deadly. Some of these are asbestosis, mesothelioma, and lung & ovarian most cancers. Imaging manifestations of primary and disseminated. Coccidioidomycosis turned into first described as a disease in an argentinean soldier in 1892. It turned into recognized as a fungal infection in 1900.1 the coccidioides spe. Pleural effusion differential diagnoses medscape. A pleural effusion is an odd collection of fluid in the pleural please affirm that you would like to log out of medscape. Chronic pleural thickening. Revista academia medicos de familia puerto rico issuu. Issuu is a virtual publishing platform that makes it easy to put up magazines, catalogs, newspapers, books, and extra online. Easily percentage your courses and get. Imaging manifestations of number one and disseminated. Coccidioidomycosis was first described as a ailment in an argentinean soldier in 1892. It was diagnosed as a fungal infection in 1900.1 the coccidioides spe. What is cirrhosis of the liver? Symptoms, remedy & tiers. Learn about cirrhosis of the liver signs together with jaundice, fatigue, weak spot, lack of urge for food, itching, and clean bruising.
Pleural effusion imaging review, radiography, computed. May also 12, 2017 many benign and malignant diseases can motive pleural effusion. The traits of the fluid depend upon the underlying pathophysiologic mechanism. Asbestosrelated ailment imaging medscape reference. · please affirm which you would really like to log out of medscape. Case research of asbestosrelated sickness extrapleural fat mimics pleural thickening and. Pediatric empyema background, pathophysiology, epidemiology. Sep 29, 2016 bacterial pneumonia with related pleural empyema is the maximum common purpose of pleural effusion determined inside the pediatric population. Parapneumonic effusions. Puppy case cavalcade, case xxv pleural thickening. Cite this text pet case cavalcade, case xxv pleural thickening medscape may 27, 2004. References. Authors and disclosures. Authors and disclosures. Cystic fibrosis definition of cystic fibrosis by using clinical. Seeking out online definition of cystic fibrosis in the scientific dictionary? Cystic fibrosis explanation free. What's cystic fibrosis? Meaning of cystic fibrosis. Benign sicknesses of the pleura. Et al. Localized fibrous tumor of the pleura. Emedicine. 2006) 193213. • Stark, paul. Imaging of pleural plaques, thickening, benign illnesses of the pleura. Revista academia medicos de familia puerto rico issuu. Issuu is a digital publishing platform that makes it simple to submit magazines, catalogs, newspapers, books, and extra online. Without problems proportion your publications and get. Acute severe allergies wikipedia. Acute intense bronchial asthma (additionally noted inside the latin as fame asthmaticus, or asthmatic reputation) is an acute exacerbation of bronchial asthma that does not respond to traditional.
Imaging manifestations of primary and disseminated. Coccidioidomycosis was first described as a disease in an argentinean soldier in 1892. It was identified as a fungal infection in 1900.1 the coccidioides spe.










0 Response to "Pleural Thickening Emedicine"
Post a Comment